病理切片 顯微鏡 觀察 操作 實驗 研究 倍數 圖片
- 編輯 :
長恒榮創
時間 : 2024-08-07 16:00 瀏覽量 : 231
-
一、實驗用途
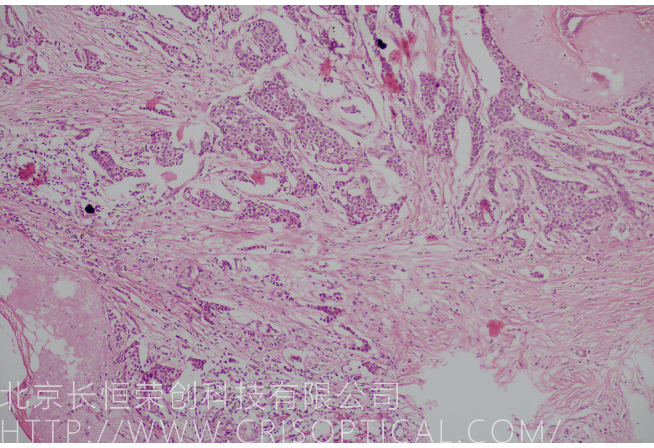
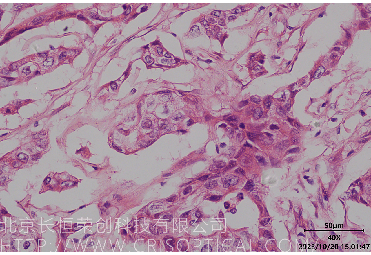
病理切片觀察是一種重要的醫學實踐,通過對組織和細胞切片的
顯微鏡觀察,幫助醫生診斷疾病、評估病情和制定治療方案。病理切片觀察在
臨床醫學、癌癥診斷、外科手術和疾病研究中發揮著關鍵作用。
疾病診斷:病理切片觀察對于診斷疾病至關重要。醫生通過病理學家的分析和評估,可以確定組織或細胞切片中是否存在異常,以及異常的類型。這有助于確定疾病的性質,例如腫瘤是惡性還是良性,細胞是否發生癌變等。
腫瘤診斷:對癌癥和其他腫瘤的病理切片觀察是確定腫瘤類型、分級和分期的關鍵步驟。醫生通過觀察組織樣本中的細胞形態、核形狀、分裂活性和其他特征,可以識別腫瘤的類型,幫助決定治療方法。
外科手術指導:在外科手術中,醫生可能會采集組織標本,然后由病理學家進行切片制備和觀察。手術中的快速冰凍切片術可以提供實時的病理診斷,幫助外科醫生確定手術范圍、移除腫瘤或其他異常組織。
治療規劃:基于病理切片觀察的結果,醫生可以制定治療方案。例如,在腫瘤治療中,病理結果可以指導放射治療、化療或靶向治療的選擇。
監測疾病進展:通過連續觀察患者的病理切片,醫生可以監測疾病的進展和治療效果。這對于癌癥患者的隨訪和疾病控制非常重要。
研究和新藥開發:病理切片觀察在醫學研究中發揮著關鍵作用??茖W家使用切片來了解疾病的生物學機制,尋找新的治療方法和開發藥物。這也有助于評估藥物的毒性和效果。
疾病分類和分類:通過觀察病理切片,醫學界能夠不斷完善和細化對不同疾病的分類和分類系統。這有助于改進疾病診斷和治療。
教育和培訓:病理切片觀察是醫學和生命科學教育的關鍵組成部分。醫學生和病理學家接受培訓,學習如何正確地制備、染色和觀察組織切片。這有助于培養未來的醫學專家。
法醫學:在法醫學領域,病理切片觀察可以用于確定死因、法醫病理學和法醫解剖學。這對于刑事調查和法律訴訟非常重要。
臨床研究:病理切片觀察在臨床研究中起著關鍵作用,幫助研究人員了解疾病的發展機制、評估新的治療方法和藥物療效。
三、儀器配置